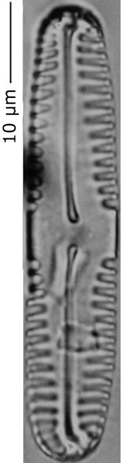
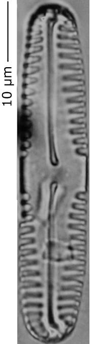
Полное изображение Pinnularia_pseudoparv_240-245, о. Шемья (Shemya), Аляска (США)
Лицензия CC-BY 4.0 (см. рекомендованное цитирование в "Полной карточке", раздел "Цитировать для публикации")

Хочешь принять участие в создании "Атласа флоры России"? Загружай свои фотографии растений в природе и точку съемки на iNaturalist, где они станут частью нашего нового проекта "Флора России | Flora of Russia".
ID образца
0000000906655
Краткое описание
Pinnularia pseudoparva
Вид
Pinnularia pseudoparva
Место сбора
о. Шемья (Shemya), Аляска (США)
Топоним
торфяное отложение McDonald Point
Полная карточка

Все образцы этого вида