Полное изображение MSU_FS-02685 01, Район Ша Тай (Sa Thầy district), Провинция Контум (Kon Tum province) (Вьетнам) Полное изображение MSU_FS-02685 01, Район Ша Тай (Sa Thầy district), Провинция Контум (Kon Tum province) (Вьетнам) Полное изображение MSU_FS-02685 01, Район Ша Тай (Sa Thầy district), Провинция Контум (Kon Tum province) (Вьетнам)
Лицензия CC-BY 4.0 (см. рекомендованное цитирование в "Полной карточке", раздел "Цитировать для публикации")

Хочешь принять участие в создании "Атласа флоры России"? Загружай свои фотографии растений в природе и точку съемки на iNaturalist, где они станут частью нашего нового проекта "Флора России | Flora of Russia".
ID образца
0000000905812
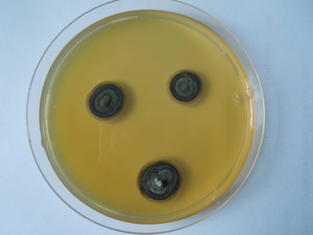
Вид
Phialocephala humicola
Штамм
MSU_FS-02685
Место сбора
Район Ша Тай (Sa Thầy district), Провинция Контум (Kon Tum province) (Вьетнам)
Топоним
Ро Кой (Rơ Kơi commune)
Полная карточка

Все образцы этого вида