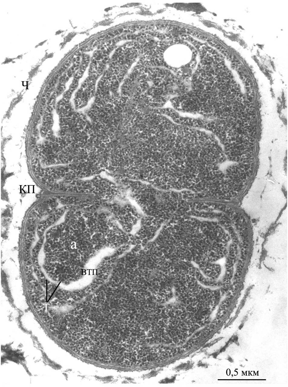
Полное изображение Делящиеся клетки Chlorogloeopsis fritschii ATCC 27193, объединённые общим чехлом, на стадии интенсивного роста культуры в оптимальных условиях на свету ( рисунок предоставлен Баулиной О.И.), (Индия) Полное изображение Делящиеся клетки Chlorogloeopsis fritschii ATCC 27193, объединённые общим чехлом, на стадии интенсивного роста культуры в оптимальных условиях на свету ( рисунок предоставлен Баулиной О.И.), (Индия) Полное изображение Делящиеся клетки Chlorogloeopsis fritschii ATCC 27193, объединённые общим чехлом, на стадии интенсивного роста культуры в оптимальных условиях на свету ( рисунок предоставлен Баулиной О.И.), (Индия) Полное изображение Делящиеся клетки Chlorogloeopsis fritschii ATCC 27193, объединённые общим чехлом, на стадии интенсивного роста культуры в оптимальных условиях на свету ( рисунок предоставлен Баулиной О.И.), (Индия)
Лицензия CC-BY 4.0 (см. рекомендованное цитирование в "Полной карточке", раздел "Цитировать для публикации")

Хочешь принять участие в создании "Атласа флоры России"? Загружай свои фотографии растений в природе и точку съемки на iNaturalist, где они станут частью нашего нового проекта "Флора России | Flora of Russia".
ID образца
0000000888950
Краткое описание
высокогетерогенная культура
Вид
Chlorogloeopsis fritschii
Штамм
ATCC 20193, PCC 6912
Место сбора
(Индия)
Полная карточка

Все образцы этого вида