Навигация
Depository of Live Systems
Division
Microorganisms and fungi
Microorganisms and fungi
Animals
Plants
Human biodata
Cultivated plants
Drosophile
Chemical Enzymology
Books
Collections
RU
EN
Microorganisms and fungi
Collections
Search
Коллекция спороношений миксомицетов кафедры Микологии и альгологии Биологического факультета МГУ имени М.В. Ломоносова
Коллекция спороношений миксомицетов Кружка юных натуралистовܠЗоологического музея МГУ
Коллекция микроорганизмов кафедры микробиологии биологического факультета МГУ
Коллекция бактерий кафедры биологии почв
Астробиологическая коллекция микроорганизмов
Коллекция культур фитопатогенных грибов-возбудителей болезней пасленовых
Гербарий фитопатогенных грибов
Грибы экстремальных местообитаний
Коллекция микроскопических грибов природных и антропогенных местообитаний
Базидиальные дереворазрушающие грибы съедобные и биотехнологически значимые
Коллекция почвообитающих микроскопических грибов
Гербарий макромицетов
Культуры грибов, ассоциированных с растениями
Коллекция культур дикорастущих и культивируемых макромицетов
Коллекция дрожжей кафедры биологии почв факультета Почвоведения МГУ
Коллекция мутантных штаммов дрожжей Saccharomyces cerevisiae
Коллекция культур микроводорослей ИФР им. К.А.Тимирязева РАН
Гербарий водорослей-макрофитов кафедры микологии и альгологии
Коллекция эталонных организмов
Коллекция биотехнологически значимых микроводорослей
Экспериментальный фонд живых культур каротиногенных микроводорослей Федерального исследовательского центра "Институт биологии южных морей им. А.О.Ковалевского РАН (ФИЦ ИнБЮМ)
Коллекция микроводорослей кафедры микологии и альгологии биофака МГУ
Всероссийская Коллекция культур клеток высших растений
Коллекция диатомовых водорослей кафедры микологии и альгологии
60
60
120
240
600
«
1
»
Total items: 1 Total pages: 1
Organisms
Specimen ID
0000000906352
Short description
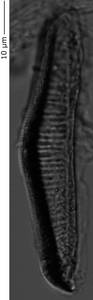
Rhopalodia gibba
Species
Rhopalodia gibba
Place of isolation
о. Шемья (Shemya), Alaska (United States)
Placename
торфяное отложение McDonald Point