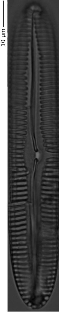
Full image Pinnularia_inconst_144-150, о. Шемья (Shemya), Alaska (United States)
Licensed under CC-BY 4.0 (see recommended citation in "Full record" following "How to cite" link)

Do you want to join the team of "Distribution Atlas of the Russian Flora"? Upload your photos of plants in wild with exact location on iNaturalist to contribute our new project "Флора России | Flora of Russia".
Specimen ID
0000000906541
Short description
Pinnularia inconstans
Species
Pinnularia inconstans
Place of isolation
о. Шемья (Shemya), Alaska (United States)
Placename
торфяное отложение McDonald Point
Full record

All specimens of the species