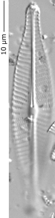
Full image Navicula_rhyn_305-310, о. Шемья (Shemya), Alaska (United States)
Licensed under CC-BY 4.0 (see recommended citation in "Full record" following "How to cite" link)

Do you want to join the team of "Distribution Atlas of the Russian Flora"? Upload your photos of plants in wild with exact location on iNaturalist to contribute our new project "Флора России | Flora of Russia".
Specimen ID
0000000906459
Short description
Navicula rhynchocephala
Species
Navicula rhynchocephala
Place of isolation
о. Шемья (Shemya), Alaska (United States)
Placename
торфяное отложение McDonald Point
Full record

All specimens of the species