Full image MSU_FS-02685 01, Район Ша Тай (Sa Thầy district), Kon Tum province (Vietnam) Full image MSU_FS-02685 01, Район Ша Тай (Sa Thầy district), Kon Tum province (Vietnam) Full image MSU_FS-02685 01, Район Ша Тай (Sa Thầy district), Kon Tum province (Vietnam)
Licensed under CC-BY 4.0 (see recommended citation in "Full record" following "How to cite" link)

Do you want to join the team of "Distribution Atlas of the Russian Flora"? Upload your photos of plants in wild with exact location on iNaturalist to contribute our new project "Флора России | Flora of Russia".
Specimen ID
0000000905812
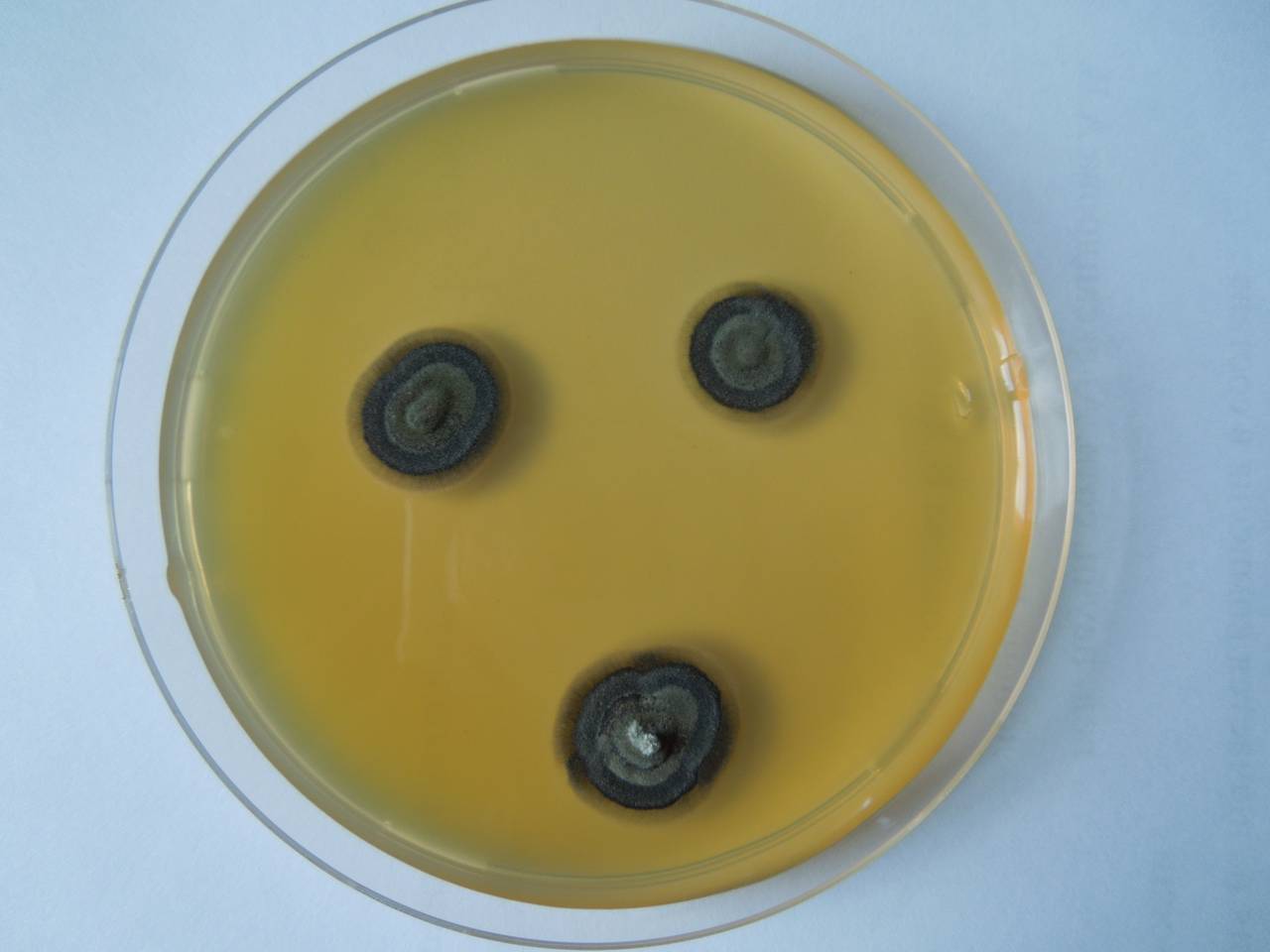
Species
Phialocephala humicola
Strain
MSU_FS-02685
Place of isolation
Район Ша Тай (Sa Thầy district), Kon Tum province (Vietnam)
Placename
Ро Кой (Rơ Kơi commune)
Full record

All specimens of the species