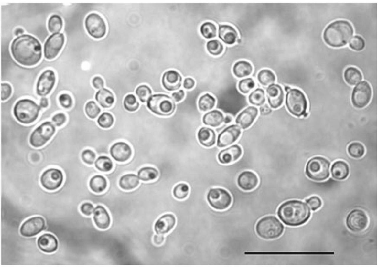
Full image Phase contrast micrograph of Candida sphagnicola sp. nov. KBP Y-3887. Vegetative cells reproducing by budding after 3 days on GPY agar at room temperature,bar = 10 mkm, Tver Oblast (Russia)
Licensed under CC-BY 4.0 (see recommended citation in "Full record" following "How to cite" link)

Do you want to join the team of "Distribution Atlas of the Russian Flora"? Upload your photos of plants in wild with exact location on iNaturalist to contribute our new project "Флора России | Flora of Russia".
Specimen ID
0000000006280
Species
Candida sphagnicola
Strain
Y-4622, Y-3887
Place of isolation
Tver Oblast (Russia)
Placename
ЦЛГПБЗ
Full record

All specimens of the species