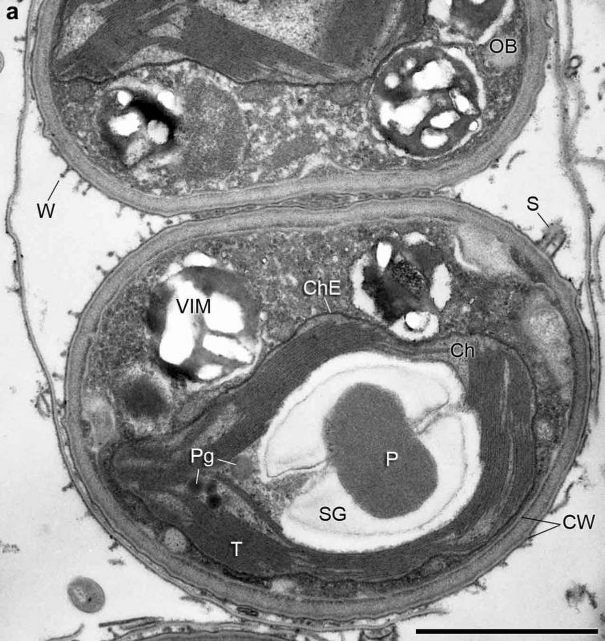
Full image ультратонкий срез клеток микроводоросли, Ругозерская губа Кандалакшского залива белого моря, Лоухский район, пос. Приморский, Karelia (Russia) Full image ультратонкий срез клеток микроводоросли, Ругозерская губа Кандалакшского залива белого моря, Лоухский район, пос. Приморский, Karelia (Russia)
Licensed under CC-BY 4.0 (see recommended citation in "Full record" following "How to cite" link)

Do you want to join the team of "Distribution Atlas of the Russian Flora"? Upload your photos of plants in wild with exact location on iNaturalist to contribute our new project "Флора России | Flora of Russia".
Specimen ID
0000000000071
Short description
2Cl66E (из гидроидного полипа)
Species
Desmodesmus sp.
Place of isolation
Ругозерская губа Кандалакшского залива белого моря, Лоухский район, пос. Приморский, Karelia (Russia)
Placename
Еремеевмкий порог
Full record

All specimens of the species